برنامج لتوقع الاصابة بمرض كورونا

منذ أسبوعين

عرض العمل

الوصف

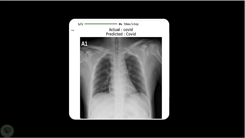
قمت باستخدام احدي ادوات التعلم العميق بتدريب نموذج يساعد في التنبؤ بالفايروس


التفاصيل

المشاهدات 0
المفضلة 0
القسم أمور اخرى

حساب المستخدم

Powered By Brmja Tech

All rights reserved © kaf 2026